斯坦福校长因学术不端辞职!3篇顶刊论文面临撤稿,本人回应:对学生手下太过信任
本人被证无违规操作
明敏 尚恩 发自 凹非寺
量子位 | 公众号 QbitAI
因陷学术不端争议,斯坦福校长引咎辞职!

其作为主要作者的5篇相关论文,3篇撤稿2篇修改,全部来自生物领域三大刊Science、Nature和Cell。
而且多篇发表在20年前、被引用数百次,是业内重要研究。
半年以前,由一位斯坦福大二学生掀起、斯坦福校方成立专门工作组的学术不端调查,如今终于有了最终结果:
马克·泰西耶·拉维涅(Marc Tessier Lavigne)合著多篇论文存在学术不端行为,但无证据显示他本人参与造假篡改数据行为,主要是“手下人操作不当”。
拉维涅从8月31日起不再担任斯坦福校长,之后继续留校任教。

消息一出马上引发各界热议。

Science编辑评价说:
这个例子很好说明了,为什么当实验室负责人,不能是一份兼任工作。

涉嫌论文包括阿尔兹海默症关键研究
拉维涅于2016年从纽约洛克菲勒大学加入斯坦福大学担任校长,作为一名神经科学家,他一直是脑、脊髓研究领域的领导者。

其研究主要集中在阿尔茨海默病、帕金森等退化性脑部疾病的病因和治疗,以及脊髓损伤的治疗,发表过多篇阿尔兹海默症领域重要研究在Nature、Science等顶刊上。
而在洛克菲勒大学之前,他还曾担任基因泰克公司(Genentech)的首席科学官,负责癌症、免疫疾病、神经退化性疾病的研究和药物开发工作。

根据这调查工作组报告结果,涉嫌造假的论文主要有5篇,两篇2001年的Science论文,一篇2003年的Nature论文,一篇2008年的EMBO Journal(欧洲分子生物学学会杂志)论文,以及一篇1999年的Cell论文。
这5篇论文都已被实锤有问题,其中3篇将被撤稿,2篇进行大量改正。
从严重程度来看,撤回和重大修订都不是小事。据统计,每10000篇论文通常只会有4篇被撤稿,而且打回改正也是属于重大修改的那种。
简单回顾一下有问题的5篇论文。
这篇发布于2008年,刊登在EMBO上的“关于大脑内受体”的论文,下载量已达4000。可以看到,上下两个实验图一模一样,几乎就是“直接复制粘贴”过来的。


这篇发布于2003年在Science上的论文,已被引用超过600次,论文研究课题对于理解血管发展和血管新生过程具有重要意义。

争议点也很明显,论文里本应代表不同的实验结果的图片,似乎是同一图片的旋转并被重复使用。

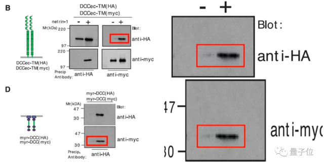
这篇发布于2001年Science上的论文,研究结果为理解神经元轴突生长和导向的分子机制提供了重要线索。目前下载量已超2000次,被引用接近200次。

这篇论文争议点和上面的一致,图B和D中的印迹像是通过复制得到的。

另外一篇,也是发布于2001年在Science上,这篇论文对神经发育和轴突导向领域产生了巨大影响。目前
下载量已超2700次,被引用接近455次。
仔细看能发现,实验第28阶段,0小时和1小时的图例完全一致,只是大小变了。


还有这篇,发布于1999年在Cell上,关于神经元轴突分支形成的分子调控机制的论文。

而除了上面这5篇,要说最具争议且影响巨大的论文,当属时任生物技术公司高管的拉维涅与他人合著,在2009年发表在Nature上,宣称找到了阿尔兹海默病患者脑部退化原因的这篇。

这篇论文发布即造成轰动,甚至当年Nature还为此特别发表了一篇题为“阿尔茨海默病理论引起了轰动”的文章。
论文发表后,拉维涅也顺利被提升为Genentech公司首席科学官,负责领导一个1400多名科学家组成的团队。

但随后,公司科学家突然发现该实验结果始终无法复制。
因此在2011年,Genentech研究审查委员会进行了内部审查,发现论文中有数据是伪造的,但鉴于事发多年且没有直接证据:
表示不存在任何欺诈或不当行为。
因陷造假争议,目前这篇论文已被Science打上警示标签,提醒读者小心引用。

那么一位科研大佬、名校校长,到底是如何被发现“学术不端”的?事情还要从一位斯坦福大二学生说起。
斯坦福大二学生掀起整场调查
关于拉维涅的重点调查,起始于去年11月底。
在此之前,拉维涅名下几篇论文已存在学术不端的争议,但大多都是坊间讨论。
直到斯坦福大学学生报纸《斯坦福日报》刊登的一则重要信息,才终于引来斯坦福校方正式立案调查。
去年11月29日,斯坦福大二学生西奥·贝克爆料,拉维涅校长的一项研究正在被欧洲分子生物学组织(EMBO)调查,同时被著名学术打假人伊丽莎白·比克盯上,另有3篇在Nature、Science上发表的论文也被认为存在“重大问题”。
要知道,伊丽莎白·比克类似于学术打假圈的福尔摩斯,非常擅长检测论文中有过特殊处理的图像。
在这篇爆料中,就附上了多张涉嫌造假的研究图表,并明确圈出了可疑部分。

同时文章还表示,当时斯坦福在一份声明中“淡化”了拉维涅涉嫌学术不端的问题。
发言人迪·莫斯托菲说,拉维涅“没有以任何形式参与两篇争议论文的造假”,包括正在审查的发表在EMBO上的论文。学校表示,这些问题不会影响论文的数据、结果或解释。
而这种说辞显然不能被审查方接受,西奥采访了专业学术打假人伊丽莎白·比克,她表示,以不影响数据为由对此不屑一顾显然让人觉得不妥,阅读论文的人可能会觉得还有很多错误藏在这些数据里?

带着各种质疑和争论,这篇发表在校刊上的文章,火速引发各方关注,并成为整场调查中最关键的导火索。
文章发表第二天(11月30日),Science宣布对两篇争议论文进行勘误更正;12月2日,斯坦福校方正式成立调查小组,开始对相关论文进行调查;12月6日,Cell也宣布对相关论文进行调查。
12月7日,校方公布了调查小组成员名单,以美国前司法部副部长为首,后续如诺贝尔奖得主兰迪·佘克曼、前普林斯顿大学校长谢莉·迪尔曼等参与到实际调查。
拉维涅本人当时发布了一份公开声明表示:
科学的诚信度对于校方和我个人来说都是至关重要的。
接下来的8个月里,调查组对拉维涅合著的12篇论文进行了重点审查。
结果表明,5篇拉维涅作为主要作者的论文中,有4篇出现了数据篡改、结论误导的情况。
拉维涅本人也发布了最新声明,并表示自己是对学生、手下研究人员太过信任的“受害者”,未来他会更加严格地监督实验工作,比如系统地将图像和原始数据进行比对。
8月31日,拉维涅将正式卸任斯坦福大学校长一职,但之后还会留校任教。
对此,学术打假人伊丽莎白·比克表示意外:
他辞职的事情让我感到惊讶,我认为这是一个好结果。
他应该做一个更好的监督者,作为研究中的资深学者,虽然他不是做实验的人,但是要对最终工作负责。
不过比克也表示,这场风波一定会对拉维涅未来的研究工作造成巨大影响,可能任何一项工作都会受到质疑。
这些学术不端论文出现在他研究生涯的不同阶段,所以不是某一个实验室的问题。
如果之后他写新论文,那么它们应该接受更严格、彻底的审查。
值得一提的是,这次“涉事论文”中,又出现了阿尔兹海默症相关的研究。
要知道,去年7月学术打假人比克办的另一桩“大案”,也是和阿尔兹海默症有关。Science曝出,2006年发表在Nature上的阿尔兹海默症重要假说开山之作,涉嫌数据造假。
这可能给该领域带来长达17年的误导。
有网友感慨,阿尔兹海默症这个研究领域多年来都是一团糟,这导致真正有效的临床研究都很少。

而除了对调查本身热议外,网友们还注意到了这次点燃导火索的大二小伙西奥·贝克。
据了解他2022年入学,对新闻报道、计算机等领域都很感兴趣。
有人表示,他的父母都是新闻行业从业者,分别是《纽约时报》和《纽约客》的资深记者。

One More Thing
不管咋说,拉维涅校长陷入的这波调查,把学术圈各位给看呆了。
杜克大学陈怡然教授也来吃瓜,还透露了下一位“有力竞争者”……

大概这就是坑导师的最高境界?(doge)

参考链接:
[1]https://stanforddaily.com/2023/07/19/stanford-president-resigns-over-manipulated-research-will-retract-at-least-3-papers/
[2]https://news.ycombinator.com/item?id=36790301/
[3]https://tessier-lavigne-lab.stanford.edu/news/message-stanford-community/
[4]https://stanforddaily.com/2022/11/29/stanford-presidents-research-under-investigation-for-scientific-misconduct-university-admits-mistakes/
[5]https://www.science.org/content/blog-post/tessier-lavigne-matter-shows-why-running-lab-full-time-job
- DeepSeek-V3.2-Exp第一时间上线华为云2025-09-29
- 你的AI助手更万能了!天禧合作字节扣子,解锁无限新功能2025-09-26
- 你的最快安卓芯片发布了!全面为Agent铺路2025-09-26
- 任少卿在中科大招生了!硕博都可,推免学生下周一紧急面试2025-09-20




